Boli inflamatorii intestinale

Studii clinice

Boli inflamatorii intestinale

Referințe și publicații relevante despre rolul studiat al HBOT în bolile inflamatorii intestinale.

Boli inflamatorii intestinale

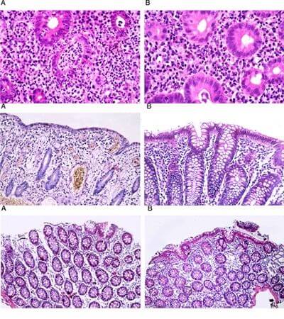
HBOT ca opțiune adjuvantă pentru reducerea inflamației și susținerea vindecării mucoasei

Deși studii de amploare privind utilizarea oxigenoterapiei hiperbare în bolile inflamatorii intestinale sunt încă în stadiu incipient, rezultatele inițiale sunt promițătoare, arătând că terapia hiperbară poate ajuta la reducerea durerii, inflamației și a simptomelor, oferind o opțiune de tratament promițătoare pentru pacienții cu boli inflamatorii intestinale.

În timp ce tratamentele clasice bazate pe corticosteroizi, antiinflamatoare și imunomodulatoare pot produce efecte secundare grave pe termen lung, terapia hiperbară poate reprezenta o nouă opțiune de tratament, deoarece vizează atât hipoxia tisulară, cât și inflamația, cu foarte puține efecte secundare.

Boli inflamatorii intestinale

Bibliografie

Publicații și referințe

Carlos G. Gonzalez, Robert H. Mills, Melissa C. Kordah, Marvic Carrillo-Terrazas, Henry Secaira-Morocho, Christella E. Widjaja, Matthew S. Tsai, Yash Mittal, Brian A. Yee, Fernando Vargas, Kelly Weldon, Julia M. Gauglitz, Clara Delaroque, Consuelo Sauceda, Leigh-Ana Rossitto, Gail Ackermann, Gregory Humphrey, Austin D. Swafford, Corey A. Siegel, Jay C. Buckey Jr., Parambir S. Dulai

The Host-Microbiome Response to Hyperbaric Oxygen Therapy in Ulcerative Colitis Patients

https://doi.org/10.1016/j.jcmgh.2022.03.008

Badar Hasan MD, Yunjoo Yim MD, Mamoon Ur Rashid MD, Rumman A Khalid MD, Deepika Sarvepalli MD, Daniel Castaneda MD, Asad Ur Rahman MD, Nicole Palekar MD, Roger Charles MD, Fernando J Castro MD, Bo Shen MD

Hyperbaric Oxygen Therapy in Chronic Inflammatory Conditions of the Pouch

Inflammatory Bowel Diseases, Volume 27, Issue 7, July 2021, Pages 965–970; https://doi.org/10.1093/ibd/izaa245

A Hillary Steinhart, Remo Panaccione, Laura Targownik, Brian Bressler, Reena Khanna, John K Marshall, Waqqas Afif, Charles N Bernstein, Alain Bitton, Mark Borgaonkar, Usha Chauhan, Brendan Halloran, Jennifer Jones, Erin Kennedy, Grigorios I Leontiadis, Edward V Loftus Jr, Jonathan Meddings, Paul Moayyedi, Sanjay Murthy, Sophie Plamondon, Greg Rosenfeld, David Schwartz, Cynthia H Seow, and Chadwick Williams

Clinical Practice Guideline for the Medical Management of Perianal Fistulizing Crohn’s Disease: The Toronto Consensus

J Can Assoc Gastroenterol. 2018 Dec; 1(4): 141–154; Published online 2018 Sep 14. DOI: 10.1093/jcag/gwy047; PMCID: PMC6542243; PMID: 31799497

Mai multe informații

Doriți să continuați explorarea studiilor?

Puteți reveni la pagina principală de studii clinice sau puteți lua legătura cu clinica prin pagina de contact.